Здоровье
Пластика уздечки: стоматологи-хирурги рассказали, что это и зачем это нужно
Редакция
20 сентября 2023 г.
10 мин чтения
1776 просмотров
Дорогие друзья, сегодня мы хотим рассказать вам об одной интересной и полезной процедуре, которая называется пластика уздечки. Вы знаете, что такое уздечка? Это тонкая полоска кожи или слизистой, которая соединяет губу или язык с десной или небом. Она есть у каждого человека, но у некоторых может быть слишком короткой или толстой, что мешает нормальному развитию речи, глотанию и здоровью зубов. В таких случаях врачи рекомендуют делать пластику уздечки - операцию по изменению формы и длины уздечки.
За разъяснениями по данному вопросу мы обратились в стоматологический центр «Апрель-клиник», которые специализируются на детской стоматологической хирургии. Прием маленьких пациентов ведут хирурги Шохалевич Павел Михайлович и Янович Вадим Вацлавович. Вот что мы узнали.
Какие бывают уздечки и как они влияют на здоровье ребенка
Уздечки бывают разных видов, в зависимости от их формы, длины и расположения.
Короткая, тонкая уздечка
Самая распространенная проблема, из-за которой возникают:
- десневая улыбка (оголение десны при улыбке);
- изменение функции речи (из-за недостаточной длины уздечки происходит блокировка некоторых движений языка и губ, за счет этого невозможно произносить некоторые звуки);
- является фактором развития рецессии десны и оголения корня зуба в области фронтальных зубов (за счет недостаточной длины идет натяжение десневого межзубного сосочка);
- затруднение грудного вскармливания в младенческом возрасте (ребенок плохо берет грудь, так как короткая уздечка ограничивает движение языка).
Как выглядит?

Как исправляется?
- хирургическим путем (как классическим, так и лазерным);
- при помощи логопеда (при ранней диагностике патологии). Однако, с помощью тренировок получается лишь незначительно растянуть уздечку. Это зависит от степени укорочения уздечки и индивидуальных особенностей ребенка).
Короткая массивная уздечка
Такой вид уздечки является достаточно сложным для исправления, так как в толще уздечки находится большое количество мышечной ткани и сосудов.
Проявляется теми же нарушениями функции, как и при предыдущем виде уздечки, только с большей выраженностью.
Характеризуется:
- десневой улыбкой;
- изменением функции речи;
- натяжением десневого межзубного сосочка;
- затруднением грудного вскармливания в младенческом возрасте.
Как исправляется?
Такой вид патологии не удастся исправить при помощи логопеда.
Показано только хирургическое лечение, а именно: классическая хирургия (в редких случаях возможно использование лазера).
Важно!
При вышеперечисленных случаях пластика уздечки проводится в ближайшее время для устранения функциональных нарушений.
Если нарушение функции незначительное, то можно отложить проведение манипуляции для психоэмоционального созревания маленького пациента.
Новорожденным операция проводится чаще всего до 3 месяцев.
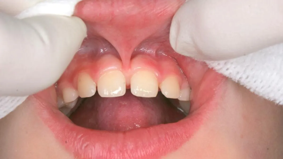
Уздечка, вплетающаяся в срединно-небный шов
При вплетении уздечки в срединно-небный шов или в десневой сосочек между зубами возникают все ранее озвученные нарушения, к которым добавляется изменение положения зубов (наличие диастемы (промежутка) между центральными резцами).
Как исправляется?
В этом случае необходимо подходить к выбора методу лечения индивидуально, в зависимости от формы уздечки. Пластику данного случая необходимо проводить после консультации с врачом ортодонтом.
Рекомендовано проводить операцию во время ортодонтического лечения после максимально возможного закрытия диастемы.
Проводится иссечение тканей уздечки губы из десневого сосочка/срединно-небного шва, после чего ортодонт продолжает закрытие диастемы.
После заживления в месте иссеченных тканей образуется рубец, который обеспечивает дополнительную ретенцию ортодонтического лечения.
Как можно определить, что у ребенка есть проблема с уздечкой
Для этого нужно обратиться к специалисту - стоматологу-хирургу или логопеду. Они проведут осмотр и диагностику, а также дадут рекомендации по лечению. Но есть и некоторые признаки, по которым можно подозревать наличие проблемы с уздечкой.
Например,
- если ребенок не может высунуть язык за пределы рта или поднять его к верхнему небу;
- если он не может свободно двигать губами;
- если он плохо произносит некоторые звуки или слова;
- если у него есть зазор между передними зубами или неправильный прикус.
Все эти симптомы могут указывать на то, что у ребенка есть проблема с уздечкой и ему нужна пластика.
Что такое пластика уздечки и как она проводится
Пластика уздечки - это операция по изменению формы и длины уздечки губы или языка. Она проводится под местной анестезией, то есть ребенок не чувствует боли, но остается при сознании.
Существуют разные методы пластики уздечки, но самый современный и безопасный - это лазерная пластика. Это значит, что врач использует специальный аппарат - лазер, который рассекает и сращивает ткани, не вызывая кровотечения и воспаления.
Лазерная пластика имеет много преимуществ по сравнению с классическим методом, который делается с помощью скальпеля и швов. Лазерная пластика проходит быстрее (около 10-15 минут), безболезненнее, безболезненнее и безопаснее. Послеоперационный период также короче и легче: ребенку нужно соблюдать гигиену рта, принимать противовоспалительные и обезболивающие препараты, а также делать специальные упражнения для губы или языка. Обычно через 2-4 дня рана заживает и ребенок может вести нормальный образ жизни.
Какие результаты можно ожидать от пластики уздечки
Пластика уздечки помогает улучшить качество жизни ребенка, а также предотвратить возможные осложнения в будущем. После пластики уздечки ребенок может свободно двигать губой или языком, что положительно сказывается на его речи, глотании, дыхании и питании. Также пластика уздечки способствует правильному развитию челюстей и зубов, улучшает эстетику улыбки.
Пластика уздечки - это простая и эффективная процедура, которая может значительно повысить комфорт и самооценку ребенка.
Если вы хотите записать ребенка на консультацию или пластику уздечки губы или языка лазером, то в стоматологическом центре «Апрель-клиник» действует отличное предложение:
Стоимость пластики 195 BYN + БОНУС: бесплатный осмотр стоматолога с выдачей справки в сад/школу. Манипуляция занимает около 10-15 минут.
Мы надеемся, что наша статья была полезной и интересной для вас.
Теги:
#пластика уздечки#Апрель-клиник#стоматолог-хирург#уздечка языка#уздечка губы#коррекция речи#грудное вскармливание#диастема#детская стоматология#лазерная стоматология
Часто задаваемые вопросы
- Что такое уздечка и зачем её корректируют?
- Уздечка — это тонкая складка слизистой, которая соединяет губу или язык с десной или нёбо со слизистой. Короткая или толстая уздечка может мешать нормальному движению языка, грудному вскармливанию, развитию речи, гигиене десны и формированию правильного прикуса. В таких случаях её рассекают или пластически удлиняют.
- В каком возрасте лучше делать пластику уздечки?
- Зависит от показаний. Уздечку языка у новорожденных рассекают в первые недели жизни, если она мешает грудному вскармливанию (короткая процедура без наркоза). Уздечку для коррекции звукопроизношения — обычно в 4–6 лет, перед началом активной логопедической работы. Уздечку верхней губы для коррекции диастемы — в 5–7 лет, перед сменой передних зубов.
- Как проходит операция и есть ли осложнения?
- Современная пластика уздечки проводится под местной анестезией с использованием скальпеля или лазера, занимает 10–20 минут. После — небольшой отёк и дискомфорт в первые сутки, полное заживление за 7–14 дней. Осложнения редки при соблюдении гигиены и рекомендаций врача (мягкая еда первые дни, специальные полоскания).
- Что будет, если не делать пластику уздечки?
- При показаниях откладывание может привести к стойким нарушениям: дефектам произношения звуков (ш, ж, р, л), сложностям с приёмом некоторых видов пищи, развитию диастемы и нарушению прикуса, рецессии десны с возможной потерей зубов в будущем. У грудничков короткая уздечка языка — частая причина невозможности грудного вскармливания.
Подпишись на нас в Telegram
ПодписатьсяПодпишись на нас в Instagram
Подписаться📌 Полезное по теме
Комментарии
Поделитесь своим мнением. Новые комментарии появляются после модерации.
Написать комментарий
Отправляя комментарий вы соглашаетесь с публикацией и нашей политикой модерации. Мы скрываем личные данные и удаляем спам.



